小学5年生の出っ歯、過蓋咬合の治療
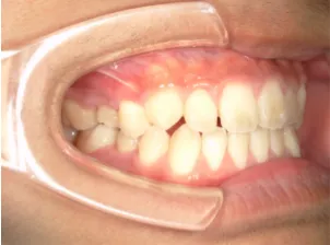
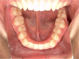
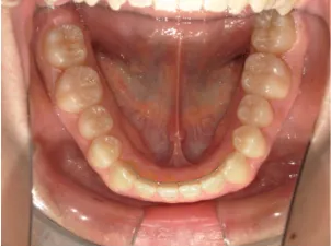
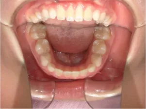
治療前①小5:スタート
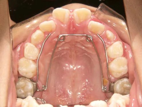
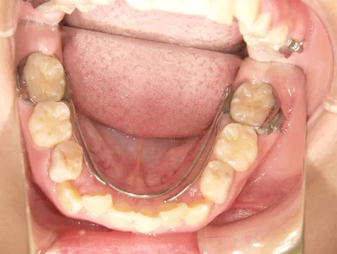
治療中➁拡大・前歯の並替え装置(写真はイメージ)

QH

BH

ブラケット

トイシャー本体

トイシャー本体

ヘッドギアー

ヘッドギアー
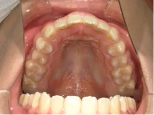
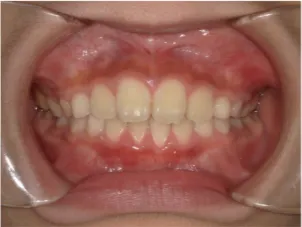
治療中③中1:拡大・前歯の並替え、トイシャー(出っ歯を治す装置)終了
*出っ歯、過蓋咬合、口唇閉鎖不全の改善
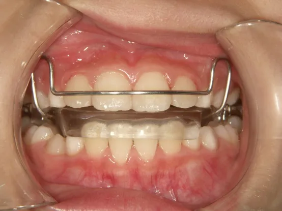
*咬合治療用モノブロック装置(筋機能的咬合誘導装置)へ移行
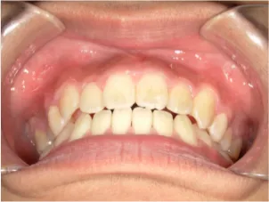
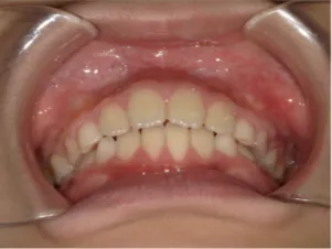
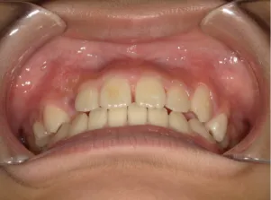
*口唇閉鎖不全がなおり奇麗な口元に改善

*就寝時に使用するモノブロック装置(筋機能的咬合誘導装置)
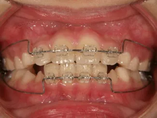
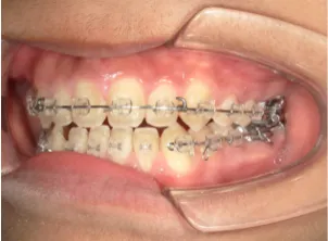
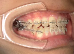
治療中④中2:マルチブラケット法へ移行:上下正中を合わせたい






*マルチブラケット法
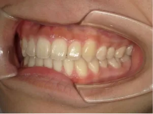
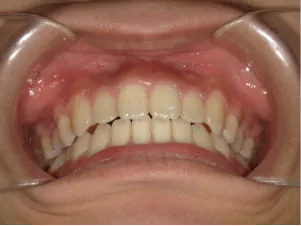
治療後⑤中3:咬合治療終了 マルチブラケット法の期間は9か月






| はじめのご相談 | 凸凹になりそうと一般歯科の先生に言われたのでみてほしい |
|---|---|
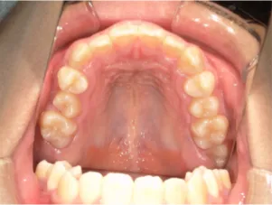
| カウンセリング・診断結果 | 下あごが後退しているタイプの出っ歯で、過蓋咬合で下あごが前に成長しにくいタイプの顔立ちです。 上の歯列弓が小さめで前歯に凸凹があります。 口元が閉じにくい口唇閉鎖不全があります。 *上記に対する治療の流れを説明し(拡大・前歯の並べ替え→出っ歯の改善→モノブロック装置(筋機能的咬合誘導装置)→必要によりマルチブラケット法)、以下の治療を提案しました。 |
| 行ったご提案・診断内容 | 成長期に行う治療と咬合治療をご提案しました。 成長期治療(成長時期にお口の環境を整え、適正な成長を促す治療)で、 ①歯列弓形態の修正、拡大と前歯を並べる。 ②出っ歯を治す専用の装置を使用する。 ③・MFT:舌や口唇などが正しい動きやポジショニングで機能し、鼻で呼吸できるようにする練習、毎日おうちで習慣づくように続けてもらいます。 ④拡大による顎顔面の適正な成長効果で口元を改善する(写真③)。 |
| 治療期間 | 小5~中3 |
| おおよその費用 | 1,089,000円 |
| 治療のリスクについて | 凸凹(でこぼこ)や口元の突出が残る場合は、抜歯治療へ移行します。 その他、矯正治療に伴うリスクとして、歯ブラシ不足による虫歯・歯周病、装置による違和感・痛み、口内炎、話しにくい・食べにくい、歯肉退縮、歯髄壊死、歯根吸収、顎関節症の悪化などがあります。 |
