小学低学年(1年生)男の子 受け口が気になる小1男子の治療
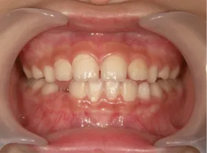
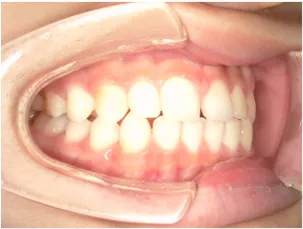
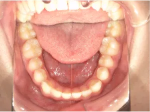
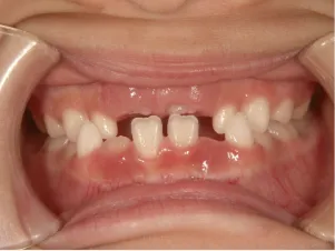
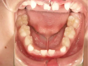
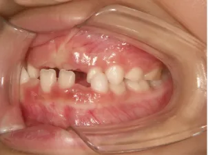
治療前①小1:初診 前歯が受け口で生えてきました
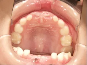
治療中➁小2:プレートタイプ装置スタート


治療中③小2:MFT タングアップ良好

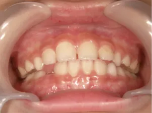
治療中④小2:プレートタイプ装置でJUMP(受け口改善)


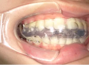
治療中⑤小3:受け口用モノブロック(機能的装置)で再発予防


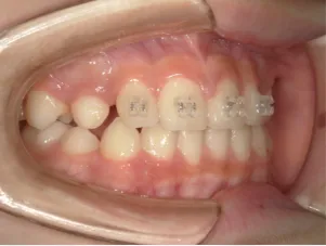
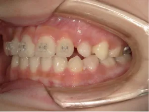
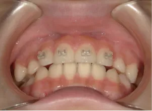
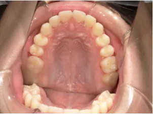
治療中⑥小4:上顎前歯の並べ替え




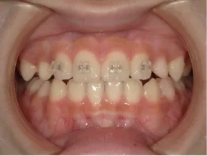
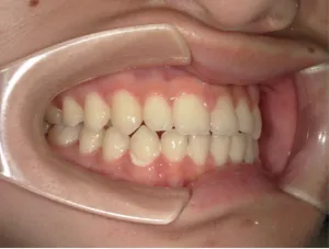
治療中⑦小5:上顎前歯の並べ替え終了
咬合治療用モノブロック装置(筋機能的咬合誘導装置)へ移行








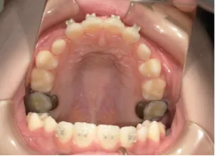
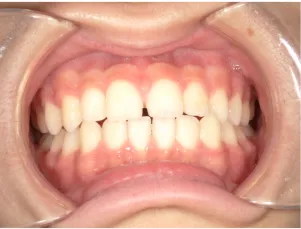
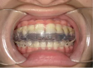
治療中⑧小6:咬合治療用モノブロック装置継続中




治療中⑨中1:咬合治療用モノブロック装置(継続中)






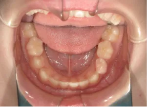
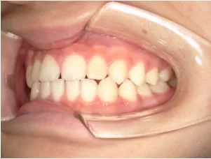
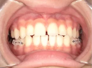
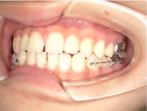
治療中⑩中2:咬合治療用モノブロック装置+CLⅢゴム(受け口の悪化予防)






治療中⑪中3:咬合治療用モノブロック装置継続中
CLⅢゴムは中止






治療中⑫今後、成長が落ち着いた時点で隙間が残っている場合や上下の正中を合わせたいなど希望があればマルチブラケット法へ移行予定です
| はじめのご相談 | 本人も受け口を気にしているので治したい。 |
|---|---|
| カウンセリング・診断結果 | 下顎骨が前に出ていて上の前歯が内側に傾斜している受け口(下顎前突・CLⅢ)です。 横顔は鼻と上顎が引っ込んで見えるコンケーブにはなっていません。 猫背で姿勢が悪く、口呼吸があります。 受け口は、上顎骨の骨格的な前方向の成長を阻害し下顎が前へ強く成長していくため、骨格的な受け口が強くなり、顔立ちがコンケーブ(三日月状)へ変化します。骨格的な受け口が強くなるほど永久歯の咬合治療が難しくなるため、受け口は早期に改善し骨格的な悪化を予防する説明をしました。 治療は2年生からスタート。 |
| 行ったご提案・診断内容 | 成長期に行う治療と咬合治療をご提案 1)受け口の改善、前歯の並べ直し 2)モノブロック装置(筋機能的咬合誘導装置)で受け口の再発予防と永久歯を適切な咬み合わせへ誘導する 3)必要によりマルチブラケット法へ移行する 上記の治療方法を提案しました。 成長期治療(成長時期にお口の環境を整える治療) ・以下の装置を提案しました 咬合治療 |
| 治療期間 | 小2~現在に至る 現在、モノブロック装置(筋機能的咬合誘導装置)継続使用中 |
| おおよその費用 | 88万円+TAX(マルチブラケット法へ移行する場合は11万円+TAX加算) |
| 治療のリスクについて | 受け口の成長期治療後は、下あごの成長が強いと成長とともに咬み合わせが徐々に受け口へ戻ることがあるため、成長が落ち着くまでは、定期的な経過観察と適切な成長コントロール(写真⑩)を行います。 受け口の再発や咬み合わせが不十分な場合は、成長が落ち着いた後にマルチブラケット法で永久歯をしっかり咬ませます。 凸凹(でこぼこ)や口元の突出が残る場合は、抜歯治療へ移行します。 その他、矯正治療に伴うリスクとして、歯ブラシ不足による虫歯・歯周病、装置による違和感・痛み、口内炎、話しにくい・食べにくい、歯肉退縮、歯髄壊死、歯根吸収、顎関節症の悪化などがあります。 |
