小1からの受け口治療、矯正治療のコンセプトが聞きたい
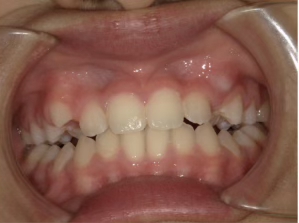
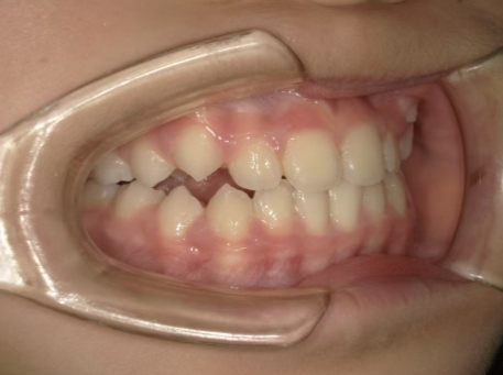
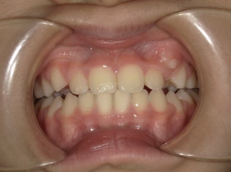
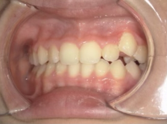
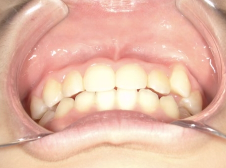
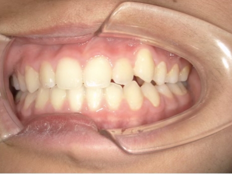
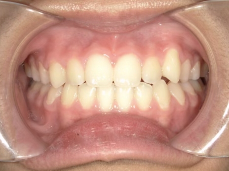
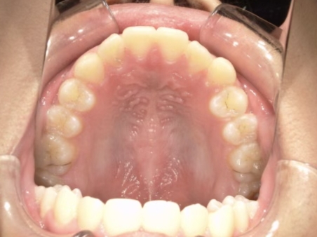
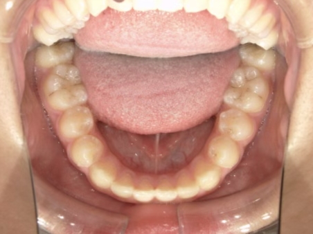
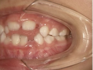
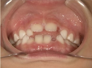
治療前① 小1:6y8m 初診
受け口用モノブロック(筋機能的装置)スタート
モノブロック装置

治療中➁ 小3:9y1m
前歯をブラケットで並べる


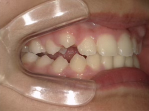
治療中③ 小4:9y10m
咬合治療用モノブロック装置(筋機能的咬合誘導装置)スタート






*就寝時に使用するモノブロック装置(筋機能的咬合誘導装置)


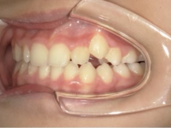
治療中④ 小4:10y1m
左上3が八重歯で萌出中






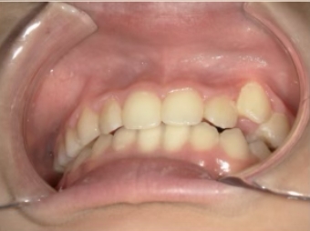
治療中⑤ 小5:10y11m
モノブロック装置継続中、左上3が八重歯で萌出






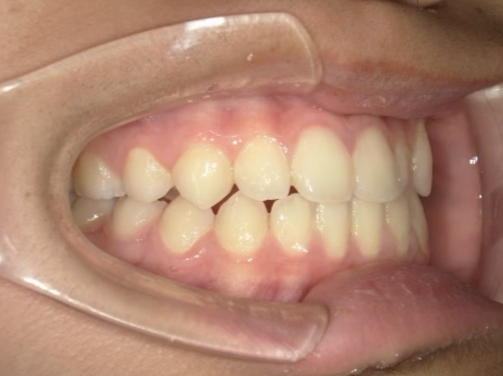
治療中⑥ 小6:11y8m
モノブロック装置継続中、左上八重歯の改善中






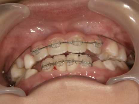
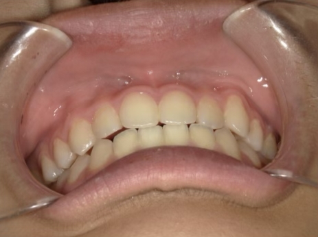
治療中⑦ 中1:12y11m
モノブロック装置継続中、左上八重歯の改善中






治療中⑧ 中2:13y7m
モノブロック装置継続中、左上八重歯の改善中






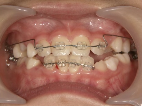
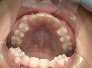
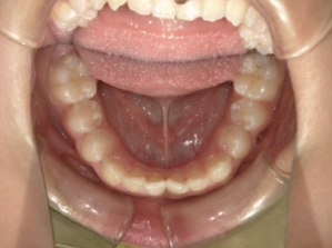
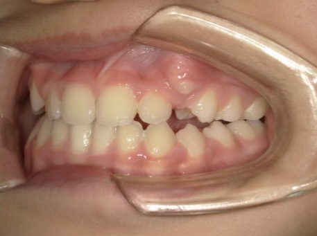
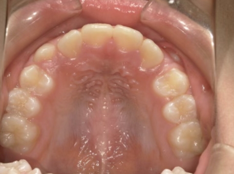
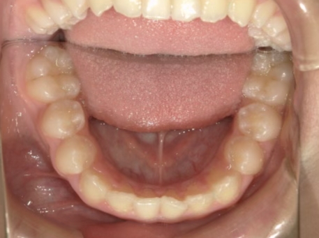
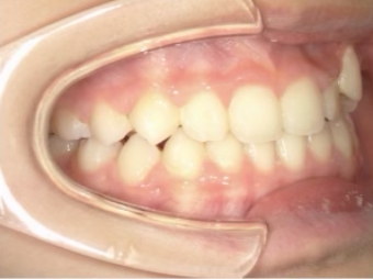
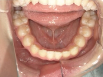
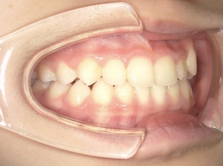
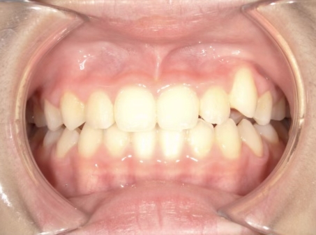
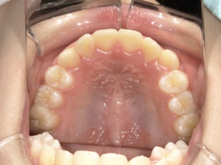
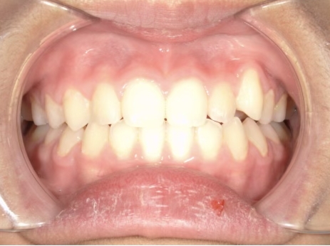
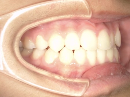
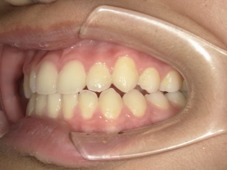
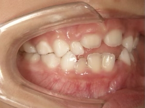
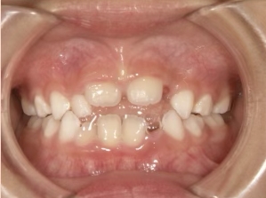
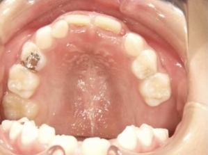
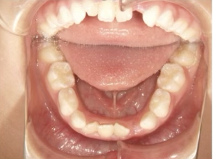
治療中⑨ 中3:14y4m
モノブロック装置で左上八重歯が改善しました
今後、必要によりマルチブラケット法へ移行予定です




| はじめのご相談 | 乳歯列期に受け口だったため他院で診てもらったが矯正治療のコンセプトがよくわからないので教えてほしい |
|---|---|
| カウンセリング・診断結果 | 前歯の生え変わり時期に来院されました。(写真①) 乳歯列期に受け口の既往があり切端咬合になりそうなため、受け口に対する矯正治療の考え方と対処法、当院のコンセプトを説明したところ治療を希望されたので診断を行いました。 診断の結果、上顎骨に対し下顎骨が長く、骨格的な構造も下顎突出型反対咬合(下顎骨が適切な位置よりも前に出ているタイプの受け口)と分かりました。 顔立ちは、中顔面が引っ込んだように見えるコンケーブに移行中です。 機能的な問題として低位舌があるため受け口の悪化が考えられることも説明し、以下の治療を提案しました。 |
| 行ったご提案・診断内容 | 成長期に行う治療と咬合治療をご提案 成長期受け口用モノブロック装置(筋機能的装置)を*MFTと併行して先行し、小学2年生以降で、拡大・前歯の調整へ移行し、咬合治療は受け口悪化予防と咬合の構築効果がある咬合治療用モノブロック装置(筋機能的咬合誘導装置)へ移行する提案をしました。 成長期治療(成長時期にお口の環境を整える治療) 咬合治療 経過観察 |
| 治療期間 | 小1~現在中3で経過観察中 |
| おおよその費用 | 968,000円(マルチブラケット法移行時に別途121,000円) |
| 治療のリスクについて | 受け口の治療後は、下あごの成長が強いと成長とともに咬み合わせが徐々に受け口へ戻ることがあるため、成長が落ち着くまでは、定期的な経過観察と適切な成長コントロールを行います。 受け口の再発、咬み合わせが不十分な場合は、成長が落ち着いた後にマルチブラケット法で永久歯をしっかり咬ませます。 凸凹(でこぼこ)や口元の突出が残る場合は、抜歯治療へ移行します。 その他、矯正治療に伴うリスクとして、歯ブラシ不足による虫歯・歯周病、装置による違和感・痛み、口内炎、話しにくい・食べにくい、歯肉退縮、歯髄壊死、歯根吸収、顎関節症の悪化などがあります。 |
