小1女子、生え変わってきても受け口なので治したい女子
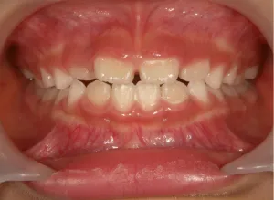
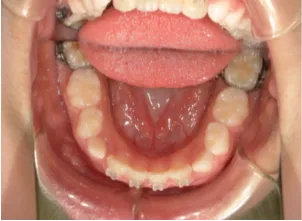
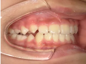
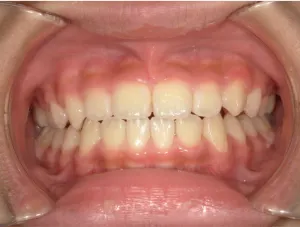
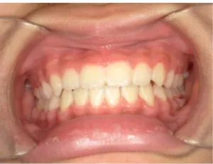
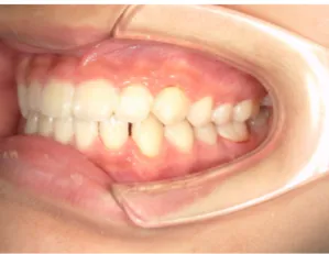
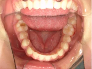
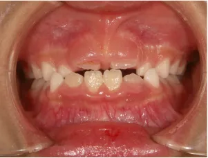
治療前①小1(7y2m):初診
*上顎前歯後方傾斜、上下唇の突出、口唇閉鎖不全傾向、コンケーブなし
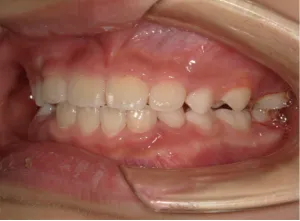
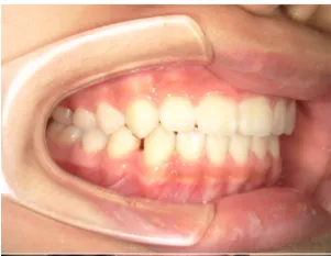
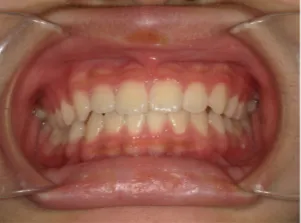
治療中➁小2(7y3m):成長期受け口用ファンクショナルアプライアンススタート

*装置はイメージ

*装置はイメージ
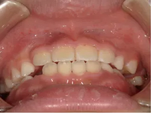
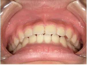
治療中③小2(7y8m):JUMP 受け口が改善


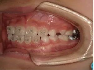
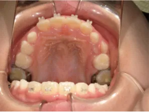
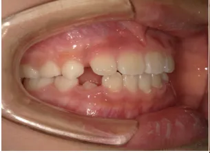
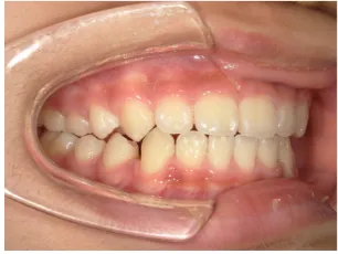
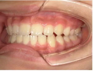
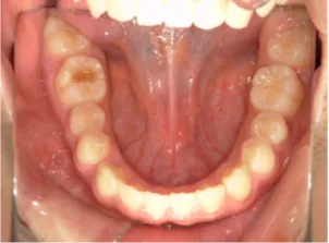
治療中④小2(8y2m)~小3(9y1m):QHとBHで拡大・アーチ形態の修正、ブラケットで前歯の並べ替えまで終了






治療中⑤小3(9y2m):モノブロック装置(筋機能的咬合誘導装置)で永久歯の咬み合わせ治療へ移行





*装置はイメージ

*装置はイメージ
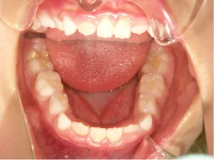
治療中⑥小4(10y2m):モノブロック装置継続中 上下正中改善中






治療中⑦小5(11y3m):モノブロック装置継続中




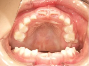
治療後⑧小6(12y3m):モノブロック装置継続中






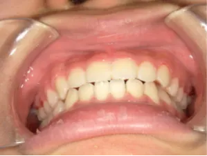
治療後⑨中2(13y11m):モノブロック装置継続中
咬み合せも安定していて、口元の突出・口唇閉鎖不全も改善







*レントゲンや歯の萌出状況などから成長が終了していると考えられるため、現在残っている隙間や上下正中の不一致を改善するためマルチブラケット法へ移行するか検討中です。
治療は歯並びや口元などの状態から非抜歯治療で行う予定です。
| はじめのご相談 | 受け口を治したい。 |
|---|---|
| カウンセリング・診断結果 | 骨格的に下顎前方位で下顎骨も大きいタイプで、上の前歯が後ろに傾斜している受け口です。 顔立ちは上下唇が突出していて口唇閉鎖不全傾向がありますが、コンケーブにはなっていません(写真①)。 機能的に低位舌があり、今後受け口を助長する可能性があります。 受け口は、上顎骨の骨格的な前方向の成長を阻害し下顎が前へ強く成長していくため、骨格的な受け口が悪化し永久歯の咬合治療が難しくなり、症例によっては外科的な治療が必要になることがあるため早期に改善し骨格的な悪化を予防する説明をしました。 |
| 行ったご提案・診断内容 | 成長期に行う治療と咬合治療をご提案 受け口用ファンクショナルアプライアンス(写真②③)からスタートし、小2以降で上下顎の拡大・歯列弓の形態修正・前歯の並べ直し(写真④)を行いその後、モノブロック(筋機能的咬合誘導)装置(写真⑤)へ移行し、受け口の再発予防と永久歯を適切な咬み合わせに誘導し、必要によりマルチブラケット法へ移行する治療方法を提案しました。 成長期治療(成長時期にお口の環境を整える治療) 2年生以降から 咬合治療 |
| 治療期間 | 12か月:受け口用ファンクショナルアプライアンス(写真②③) 12カ月:成長期治療の動的治療期間(写真④) 現在、成長の経過観察と咬合誘導中です(写真⑤~⑨) |
| おおよその費用 | 成長期治療:462,000円 咬合治療:506,000円(マルチブラケット法へ移行する場合は110,000円+TAX加算) |
| 治療のリスクについて | 受け口の治療後は、下あごの成長が強いと成長とともに咬み合わせが徐々に受け口へ戻ることがあるため、成長が落ち着くまで定期的な経過観察と適切な成長コントロールを行います。 受け口の再発や咬み合わせが不十分な場合は、成長が落ち着いた後にマルチブラケット法で永久歯をしっかり咬ませます。 凸凹(でこぼこ)や口元の突出が残る場合は、抜歯治療へ移行します。 その他、矯正治療に伴うリスクとして、歯ブラシ不足による虫歯・歯周病、装置による違和感・痛み、口内炎、話しにくい・食べにくい、歯肉退縮、歯髄壊死、歯根吸収、顎関節症の悪化などがあります。 |
