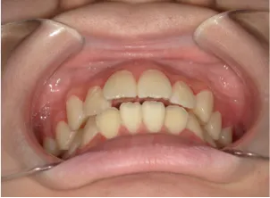
中学2年生 女子 気になる前歯と出ている口元を治したい中2女子
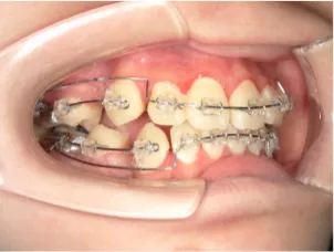
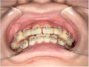
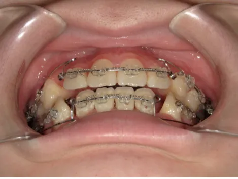
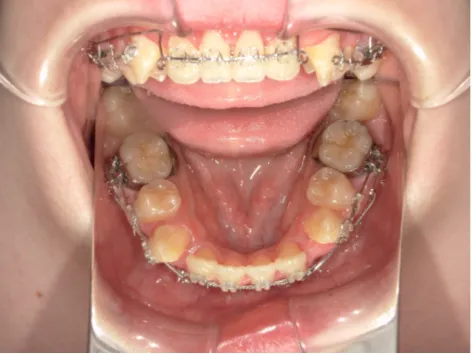
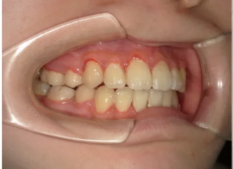
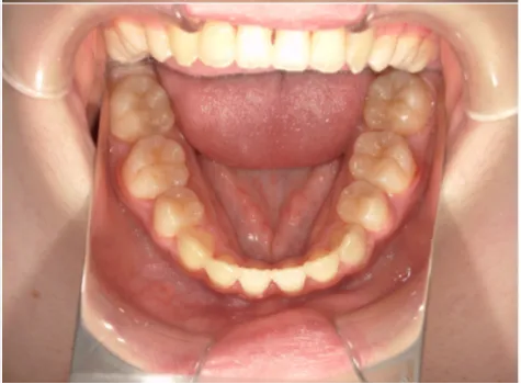
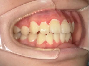
治療前①中2:凸凹 口元の突出 抜歯治療
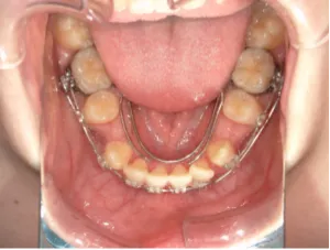
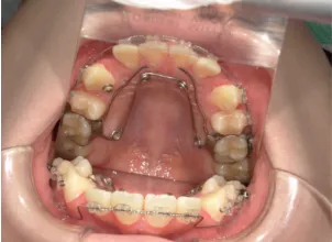
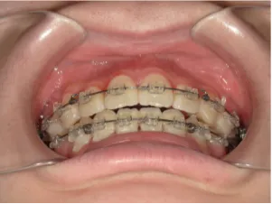
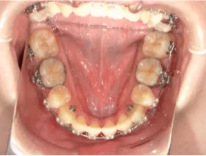
治療中➁使用装置:ブラケット、QH、BH、顎間ゴム *中3:治療スタート






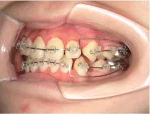
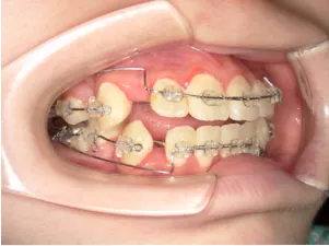
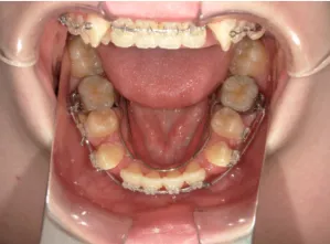
治療中③抜歯したスペースに犬歯(糸切り歯)を後方移動 *中3:犬歯の後方移動






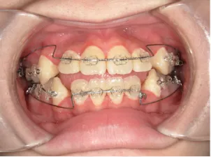
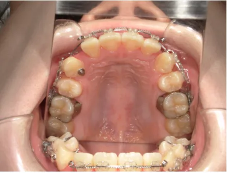
治療中④犬歯移動後、前歯4本を後方へ動かして隙間を閉じます *高1:前歯4本の後方移動






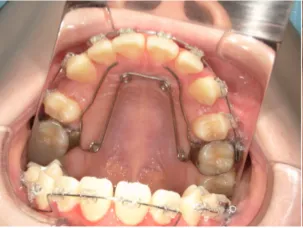
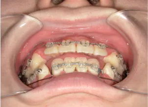
治療中⑤高1:隙間を閉じたら上下しっかり咬ませます






治療中⑥高1:動的治療期間2y1m *しっかり咬んだら動的治療終了、保定装置へ移行します







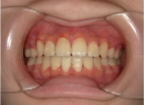
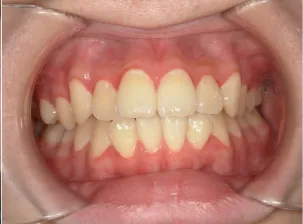
上下抜歯し口元もすっきりして、口唇閉鎖不全も改善しました
| はじめのご相談 | 気になる前歯と出ている口元を治したい。 |
|---|---|
| カウンセリング・診断結果 | 上下前歯に凸凹があり、口が閉じられない顔立ちです。(写真①) 顔立ちが気になるか気にならないかで、歯を抜く抜歯治療、抜かない非抜歯治療が選択できることを説明し、治療後の口元をモーフィングで確認していただき抜歯、非抜歯を決めることをご理解して頂いたので精密検査、診断を行いました。 診断の結果、上下顎の骨格的なバランスは適正範囲内ですが、上下顎の歯列が狭く、上下とも前歯が突出していて凸凹を伴い、口が閉じない顔立ち(口唇閉鎖不全)をしていることがわかりました。 |
| 行ったご提案・診断内容 | *提案①:上下顎抜歯治療、上下左右4を抜歯し上下前歯を後方移動させ、凸凹と口元を引っ込めて閉じられるようにする抜歯治療を提案しました。 *提案②:抜歯しない非抜歯治療、側方拡大をしてアーチの形態修正と凸凹を改善する治療で、閉じられない口元は改善しないことを説明しました。 *2つの治療の違いは、提案①の治療は上下とも前歯の位置が引っ込むため、それに伴い口元が引っ込んですっきりした顔立ちになる治療です。 上記コンサルテーションの結果、上下左右4の抜歯治療を希望されました。 使用装置は(写真②)以下をご提案しました。 |
| 治療期間 | 2年1ヵ月(動的治療期間) |
| おおよその費用 | 1,034,000円 |
| 治療のリスクについて | 矯正治療に伴うリスクとして、歯ブラシ不足による虫歯・歯周病、装置による違和感・痛み、口内炎、話しにくい・食べにくい、歯肉退縮、歯髄壊死、歯根吸収、顎関節症の悪化などがあります。治療後適切な保定を行い経過観察が必要です。 また、治療後も舌を上顎の正しい位置に置き、口を閉じて鼻呼吸をすることを習慣づけることが必須です。 上記を行わないとスペースや歯のねじれなどが生じます。 |
