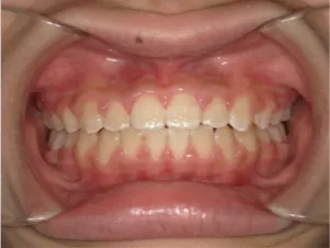
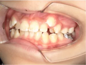
小5女子の八重歯 できれば抜かないで治療したい小5女子
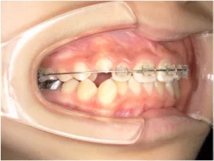
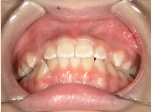
治療前①小5:生え変わり後期のため顔の成長を促進させる目的で拡大装置(アーチ形態の修正)と上顎前歯をそろえることを先行し、できるだけ非抜歯治療で進める予定を提案しました
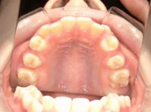
治療中➁小6:QH・BHでアーチ形態改善・上顎前歯を並べる







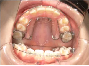
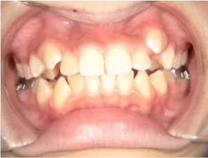
治療中③中1:非抜歯治療の診断で、上顎に歯の生えるスペースをつくるため上顎左右6をプレートで遠心移動し、隙間ができた時点
マルチブラケット法へ移行します
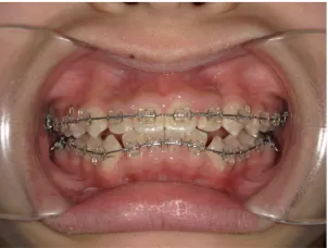
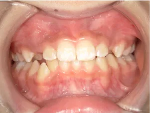
*マルチブラケット法移行前
*マルチブラケット法移行後
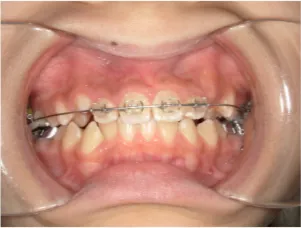
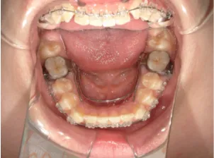
治療中④中1:治療中 マルチブラケット法へ移行






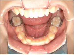
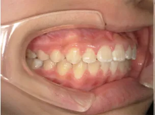
治療後⑤中2:治療終了







| はじめのご相談 | 凸凹を治したい、治療方法を知りたい。 |
|---|---|
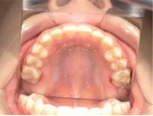
| カウンセリング・診断結果 | 治療方法は精密検査、分析をして検討することをご理解いただき、矯正治療で抜歯をするかしないかの違いについて説明し治療を希望されたので精密検査を行いました。 精検の結果、顔立ちは下顎が後退したタイプの出っ歯(下顎後退型上顎前突)でV-shaped arch(歯列が狭い)、凸凹、八重歯になっていて、機能的にはべろのポジションが悪い低位舌があります。 口元は問題ありません。 |
| 行ったご提案・診断内容 | 生え変わりが終わってなくマルチブラケット法による咬合治療には早い時期のため、顔立ちの成長を促す目的で歯列弓(アーチ)の拡大と前歯を並べながら永久歯が生えるのを待ち、咬合治療開始時に再診断で抜歯、非抜歯を最終検討する提案をしました。 再診断時(写真②)、歯列の拡大と上顎前歯の並べ替えはされていましたが八重歯となったため抜歯、非抜歯を検討しました。 口元は特に問題がなく非抜歯で八重歯を改善するためのスペースを作ることが可能なため非抜歯治療を提案しました。 治療は、 ・拡大および上顎左右6を遠心移動させてスペースを作る 予定装置 |
| 治療期間 | 小5~中2 |
| おおよその費用 | 矯正治療費:1,034,000円 |
| 治療のリスクについて | 矯正治療に伴うリスクとして、歯ブラシ不足による虫歯・歯周病、装置による違和感・痛み、口内炎、話しにくい・食べにくい、歯肉退縮、歯髄壊死、歯根吸収、顎関節症の悪化などがあります。 |
