MENU
アクセス
子どもの歯並び
ハウツー辞典
症例ブログ
相談
×
医院案内
初めての方へ
こどもの矯正治療が得意なワケ
院長ご挨拶
アクセス・受付時間
歯並びのお悩み・症状別メニュー
受け口(しゃくれている)
開咬(噛み合わない)
出っ歯
叢生(でこぼこ)
幼児・小児の顎変形症
矯正治療のよくあるQ&A
治療法別メニュー
歯の生え変わり時期限定
~咬合誘導~
非抜歯矯正(歯を抜かない矯正)
年齢別のごあんない
3才~幼児の矯正歯科治療
小学生の矯正歯科治療
中学生以上の矯正歯科治療
なぜ矯正治療は小学二年生からがいいのか?
こどもの歯並びハウツー辞典
費用について
当院のトータルフィーシステムについて
治療費用の詳細
お支払い方法
医療費控除申請について
保障制度について
採用情報
お知らせ
医院ブログ
症例ブログ
カウンセリング
電話で初診予約
03-5707-7377
24時間WEB予約
無料矯正カウンセリング
無料矯正
カウンセリング
24時間WEB予約
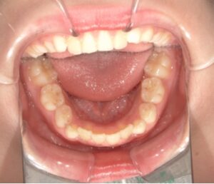
toshisika_case_after_No2_5
ホーム
toshisika_case_after_No2_5
前の記事へ
PAGE TOP