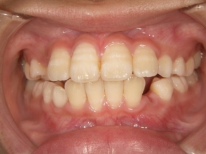
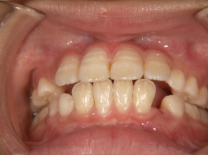
小1女子、前歯が受け口で生え変わってきた受け口治療
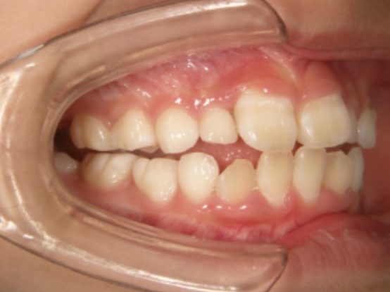
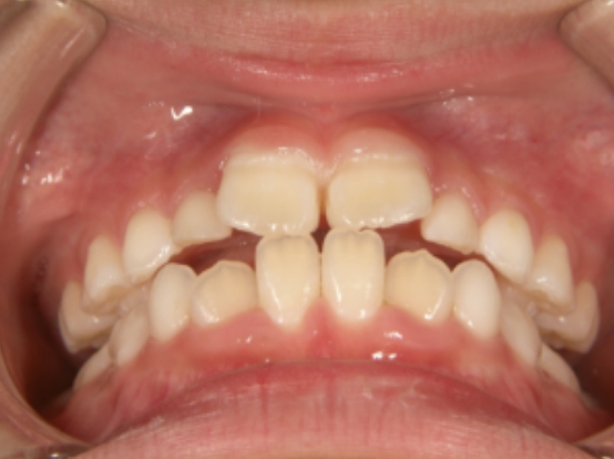
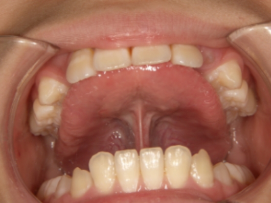
治療前① 小1:初診
治療スタート:7y4m
成長期受け口用顎機能的装置(モノブロック装置)
成長期受け口用モノブロック装置 *装置はイメージ


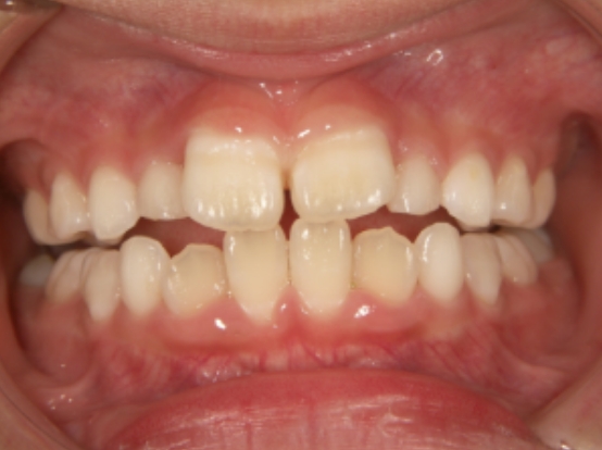
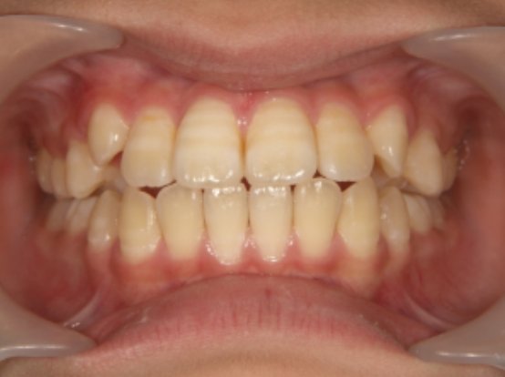
治療中➁ 小1:7y5m 装置使用後1か月で受け口が改善




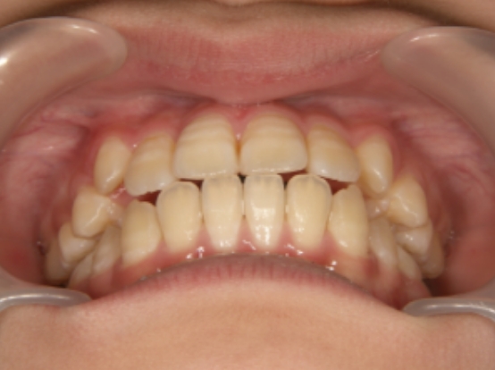
治療中③ 小2:7y11m QH・BHで側方拡大、前歯の並べ替え

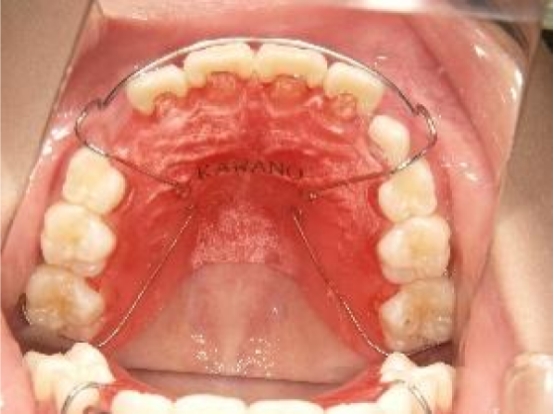
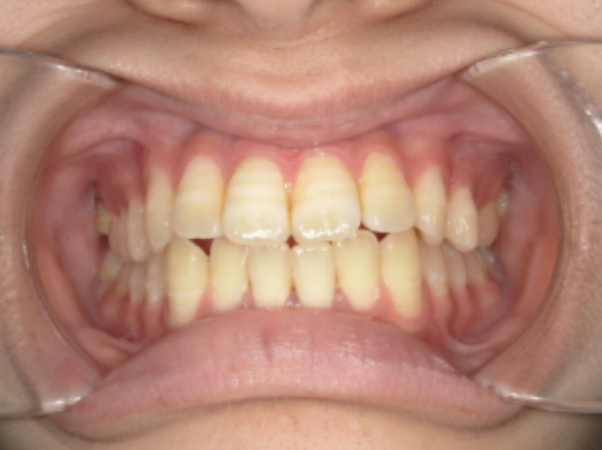
治療中④ 小3:9y1m 除去 上顎ホーレーリテーナ― 下顎FIXリテーナー
動的治療期間1y1m






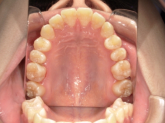
上顎ホーレーリテーナー


治療中⑤ 小3~:9y7m~ ベロの機能練習 10y1mでベロ機能が改善
上顎ホーレーリテーナ― 下顎FIXリテーナー 継続中
9y7m:ベロ機能の練習前
上の歯列弓の中に納まらない状態

10y1m:ベロ機能の練習後
上の歯列弓の中に納まり、ベロの位置、飲み方(嚥下)が正しくコントロールされた状態

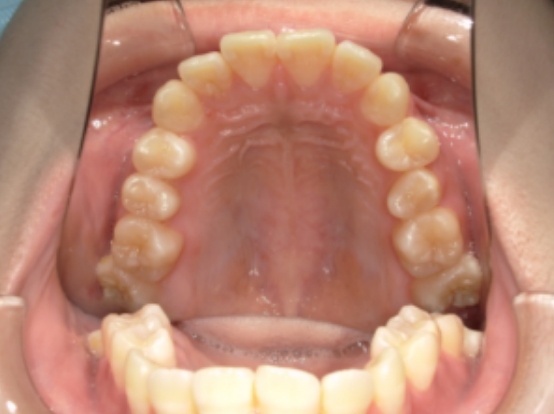
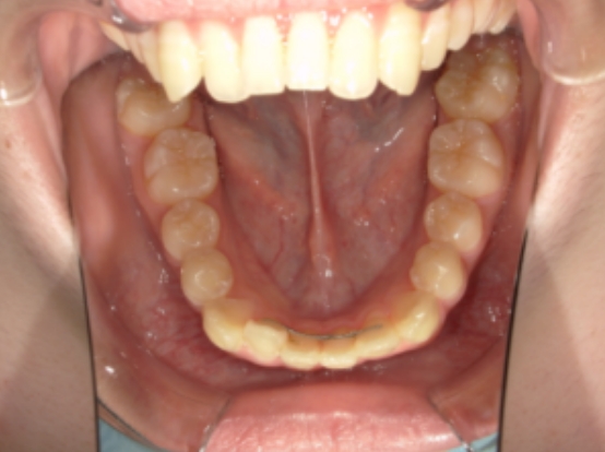
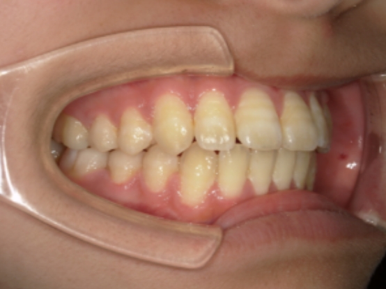
治療中⑥ 小5:10y9m 上顎ホーレーリテーナ― 下顎FIXリテーナー 継続中


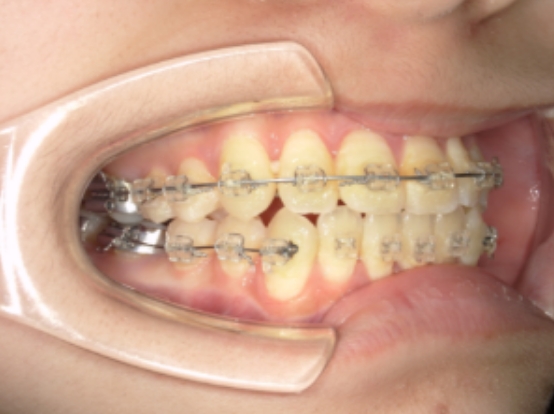
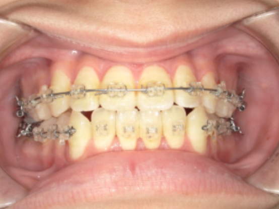
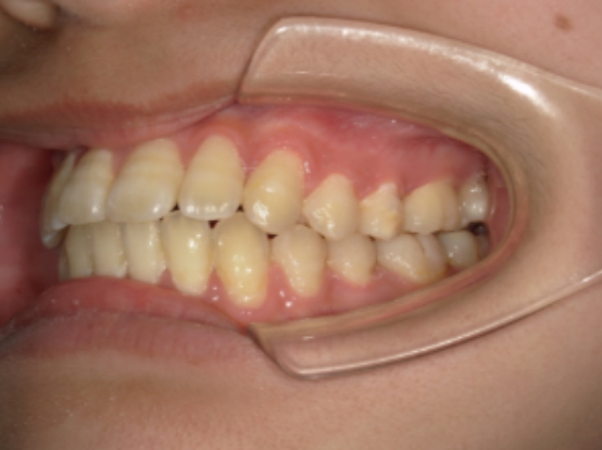
治療中⑦ 中2:14y6m 咬合治療スタート
・非抜歯治療 ・下顎歯列後方移動






マルチブラケット法




治療後⑧ 高1:16y6m 動的治療終了 14y6m~16y6m 2年






| はじめのご相談 | 受け口で生えてきたのと下の前歯の凸凹を治したい。 |
|---|---|
| カウンセリング・診断結果 | 前歯が受け口で生え変わってきているため、適正な成長へ誘導するために前歯の咬み合わせの改善が必要なことを説明したところ、診断を希望されたので精密検査へ進みました。 精密検査の結果、骨格的な反対咬合傾向はありますが、主に下顎前歯が突出している受け口です。 機能的に低位舌があり、下顎前歯が突出している原因の一つと考えられます。 口元は問題なくコンケーブも認められません。 |
| 行ったご提案・診断内容 | 成長期に行う治療と咬合治療をご提案 咬合治療でOPEにならないように、成長期に受け口を改善し悪化予防を行い、咬合治療で歯並びと口元の改善を行うことを提案しました。 《成長期治療:成長期にお口の環境を整え、適正な成長を誘導する治療》 使用装置 《咬合治療:成長期治療後に大人の歯を咬ませる治療》 成長治療終了後にレントゲンで顔立ちのチェックを行いました。 《治療後の経過観察》 |
| 治療期間 | 成長期治療(動的治療):1y1m 咬合治療(マルチブラケット法):2y |
| おおよその費用 | 成長期治療:42万+TAX 咬合治療:57万+TAX |
| 治療のリスクについて | 成長期の受け口治療後は、下あごの成長が強いと成長とともに咬み合わせが徐々に受け口へ戻ることがあるため、成長が落ち着くまでは、定期的な経過観察と適切な成長コントロールを行います。 受け口の再発、咬み合わせが不十分な場合は、成長が落ち着いた後にマルチブラケット法で永久歯をしっかり咬ませます。 凸凹(でこぼこ)や口元の突出が残る場合は、抜歯治療へ移行します。 その他、矯正治療に伴うリスクとして、歯ブラシ不足による虫歯・歯周病、装置による違和感・痛み、口内炎、話しにくい・食べにくい、歯肉退縮、歯髄壊死、歯根吸収、顎関節症の悪化などがあります。 |
