小2女子、受け口を治したい小2女子、年頃になって口元もきれいにしたくなった症例
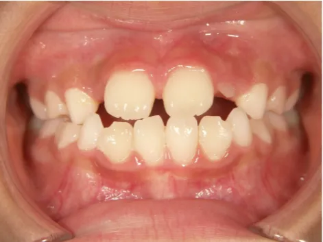
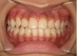
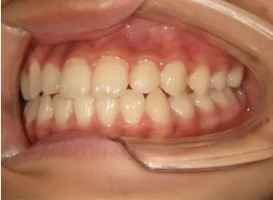
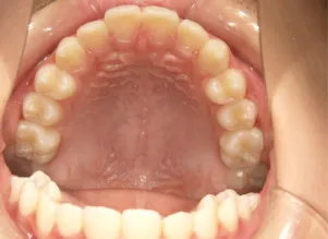
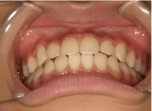
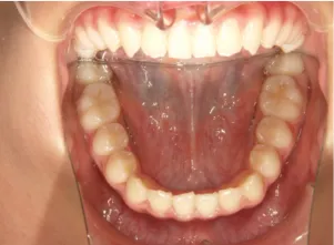
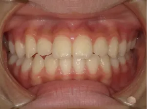
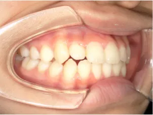
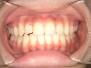
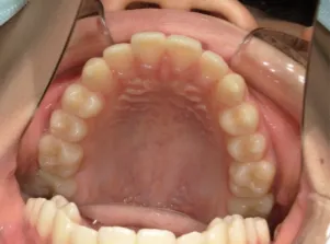
治療前①小2:8y1m 初診
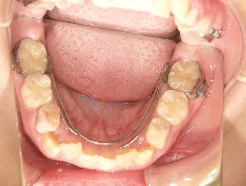
治療スタート:8y2m QH・BHで拡大、前歯の並び替えスタート







QH

BH

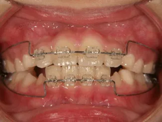
ブラケット
*装置はイメージ
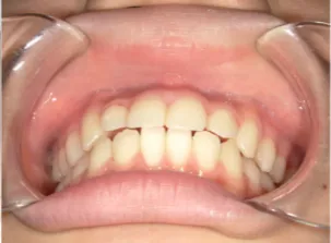
治療中➁小3:9y8m QH、BH、前歯並び替え終了
モノブロック装置(筋機能的咬合誘導装置)スタート








モノブロック装置*装置はイメージ
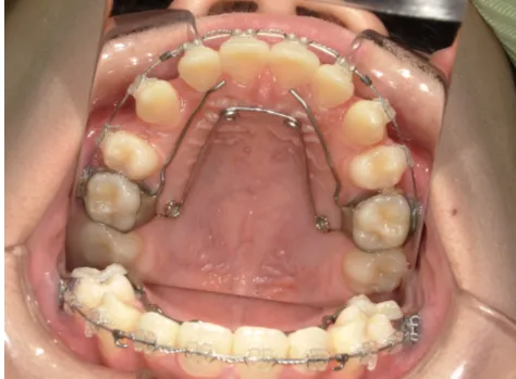
治療中③小4:10y8m モノブロック・MFT継続中
治療中④小5:11y9m モノブロック装置継続中 MFT継続中






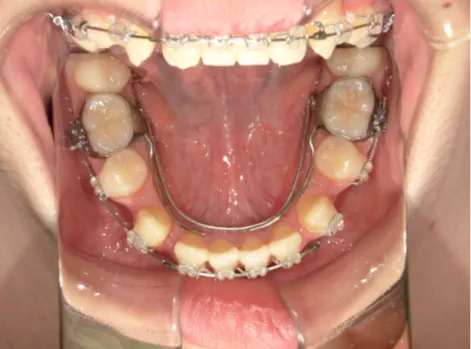
治療中⑤小6:12y8m モノブロック装置継続中 MFT継続中




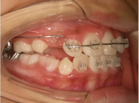
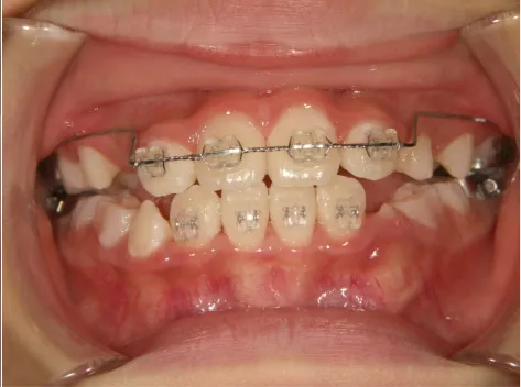
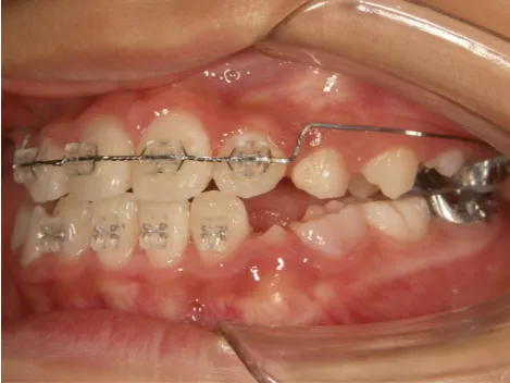
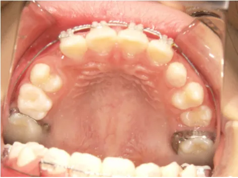
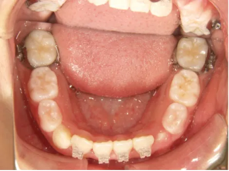
治療中⑥中1:13y3m 左側奥歯の咬み合わせ改善のため一時クロスゴム併用






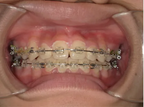
治療中⑦中3:15y5m 口元・咬合の改善で抜歯治療スタート







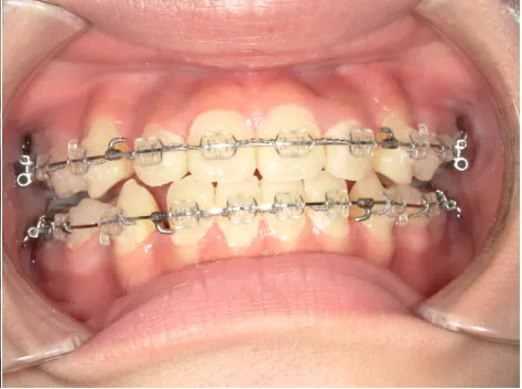
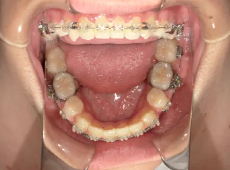
治療中⑧高1:15y11m 抜歯治療中






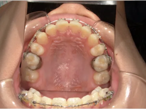
治療中⑨高2:17y1m 抜歯治療中






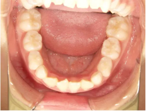
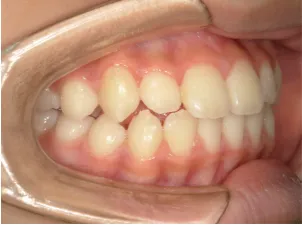
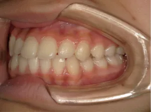
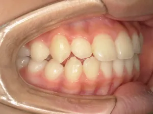
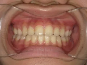
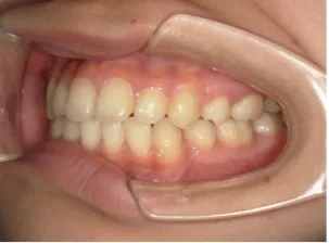
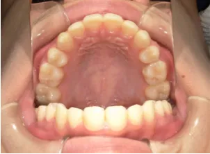
治療後⑩高2:17y7m 抜歯治療終了







口元の治療前後:15y5m→17y7m スッキリしました

| はじめのご相談 | 受け口になってきているので治したい |
|---|---|
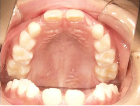
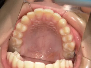
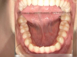
| カウンセリング・診断結果 | 前歯が受け口になっていているため、適正な成長へ誘導するために前歯の咬み合わせの改善が必要なことを説明し、診断を希望されたので精密検査へ進みました。 精密検査の結果、骨格的には受け口傾向、下顎前歯の突出、上下ともアーチが小さく凸凹(叢生)が認められ、機能的には低位舌と口唇閉鎖不全があり、口元は上下唇とも突出していますがコンケーブになってないことがわかりました。 |
| 行ったご提案・診断内容 | 成長期に行う治療と咬合治療をご提案 咬合治療でOPEにならないように、成長期に受け口の悪化予防を行い、咬合治療で歯並びと口元の改善を行うことを提案しました。 《成長期治療:成長時期にお口の環境を整え、適正な成長を誘導する治療》 使用装置 《咬合治療:成長期治療後に大人の歯を咬ませる治療》 *治療は上記ステップで行いました。 《治療後の経過観察》 |
| 治療期間 | 成長期治療(動的治療):1y6m マルチブラケット法治療:2y2m |
| おおよその費用 | 成長期治療:42万+TAX 咬合治療:57万+TAX |
| 治療のリスクについて | 成長期の受け口治療後は、下あごの成長が強いと成長とともに咬み合わせが徐々に受け口へ戻ることがあるため、成長が落ち着くまでは、定期的な経過観察と適切な成長コントロールを行います。 受け口の再発、咬み合わせが不十分な場合は、成長が落ち着いた後にマルチブラケット法で永久歯をしっかり咬ませます。 凸凹(でこぼこ)や口元の突出が残る場合は、抜歯治療へ移行します。 その他、矯正治療に伴うリスクとして、歯ブラシ不足による虫歯・歯周病、装置による違和感・痛み、口内炎、話しにくい・食べにくい、歯肉退縮、歯髄壊死、歯根吸収、顎関節症の悪化などがあります。 |
